Tratamiento Láser

en Bilbao

El tratamiento con láser utiliza tecnología de luz de alta precisión para atacar las bacterias responsables de la inflamación de las encías y los implantes.

Tratamiento Eficaz y No Invasivo

El láser diodo es una tecnología avanzada que combina tres haces de luz con diferentes longitudes de onda. Se trata de un láser de última generación con múltiples beneficios en el campo de la odontología. Se utiliza para intervenciones quirúrgicas en tejidos blandos , descontaminación bacteriana, reducción de la sensibilidad dental, estimulación de la cicatrización de los tejidos periodontales. En nuestra clínica de Bilbao, utilizamos láser diodo de última generación dental para garantizar una recuperación más rápida y resultados efectivos inmediatos.

Diagnóstico y Planificación

Identificación de áreas donde se requiera el láser diodo.

Descontaminación de bolsas periodontales e implantes

Eliminación de bacterias y tejido inflamado en bolsas periodontales y en implantes.

Desinfección Profunda

Sellado y descontaminación de las superficies dentales y gingivales.

Seguimiento Personalizado

Revisiones regulares para asegurar la estabilidad y salud continua de las encías.

Te lo explicamos con detalle

¿En qué consiste el tratamiento con láser?

El tratamiento con láser periodontal utiliza tecnología de luz de alta precisión para atacar las bacterias responsables de la inflamación de las encías y los implantes. Es un procedimiento menos invasivo que las cirugías tradicionales, ya que no requiere incisiones ni suturas. Además, el láser estimula la regeneración de los tejidos, favoreciendo la recuperación del soporte dental y mejorando la salud bucal de manera integral.

¿En qué casos se recomienda?

  1. Gingivitis y periodontitis moderada o avanzada.
  2. Bolsas periodontales profundas resistentes a tratamientos convencionales.
  3. Alternativa a procedimientos quirúrgicos invasivos.
  4. Pacientes que buscan tratamientos indoloros con menor tiempo de recuperación.
  5. Sensibilidad dental.
  6. Descontaminación de implantes.
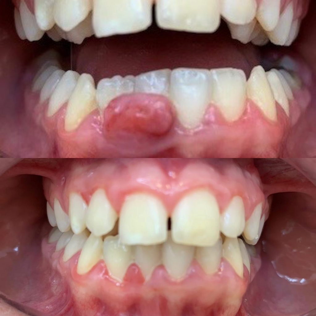
  7. Eliminación de frenillos, Fibromas y Épulis de forma indolora.

Reserva directamente online

Formulario web

Odontología preventiva Un enfoque proactivo para una salud dental óptima

Cuida tu sonrisa con odontología preventiva: un enfoque proactivo que previene caries y enfermedades, ahorrándote tiempo y dinero mientras mejora tu salud integral. ¡Invierte en tu bienestar dental hoy.

Cita Previa

Horarios de apertura

Lunes y Miercoles
08.00 - 13.00 y
16:00 - 20:00
Martes y Jueves
8:00 - 20:00
Viernes
08:00 - 17:00
Esta web utiliza cookies propias para su correcto funcionamiento. Contiene enlaces a sitios web de terceros con políticas de privacidad ajenas que podrás aceptar o no cuando accedas a ellos. Al hacer clic en el botón Aceptar, acepta el uso de estas tecnologías y el procesamiento de tus datos para estos propósitos.
Privacidad