Injerto de Encía

en Bilbao

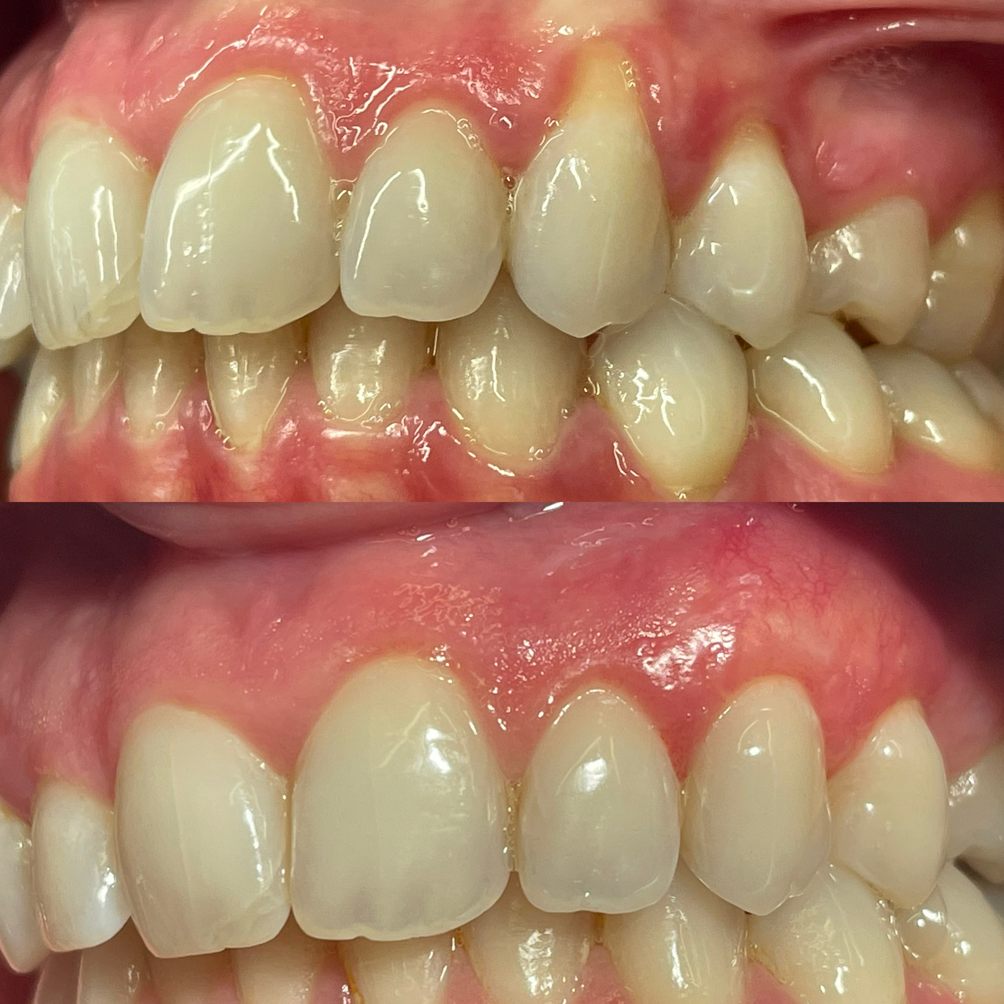
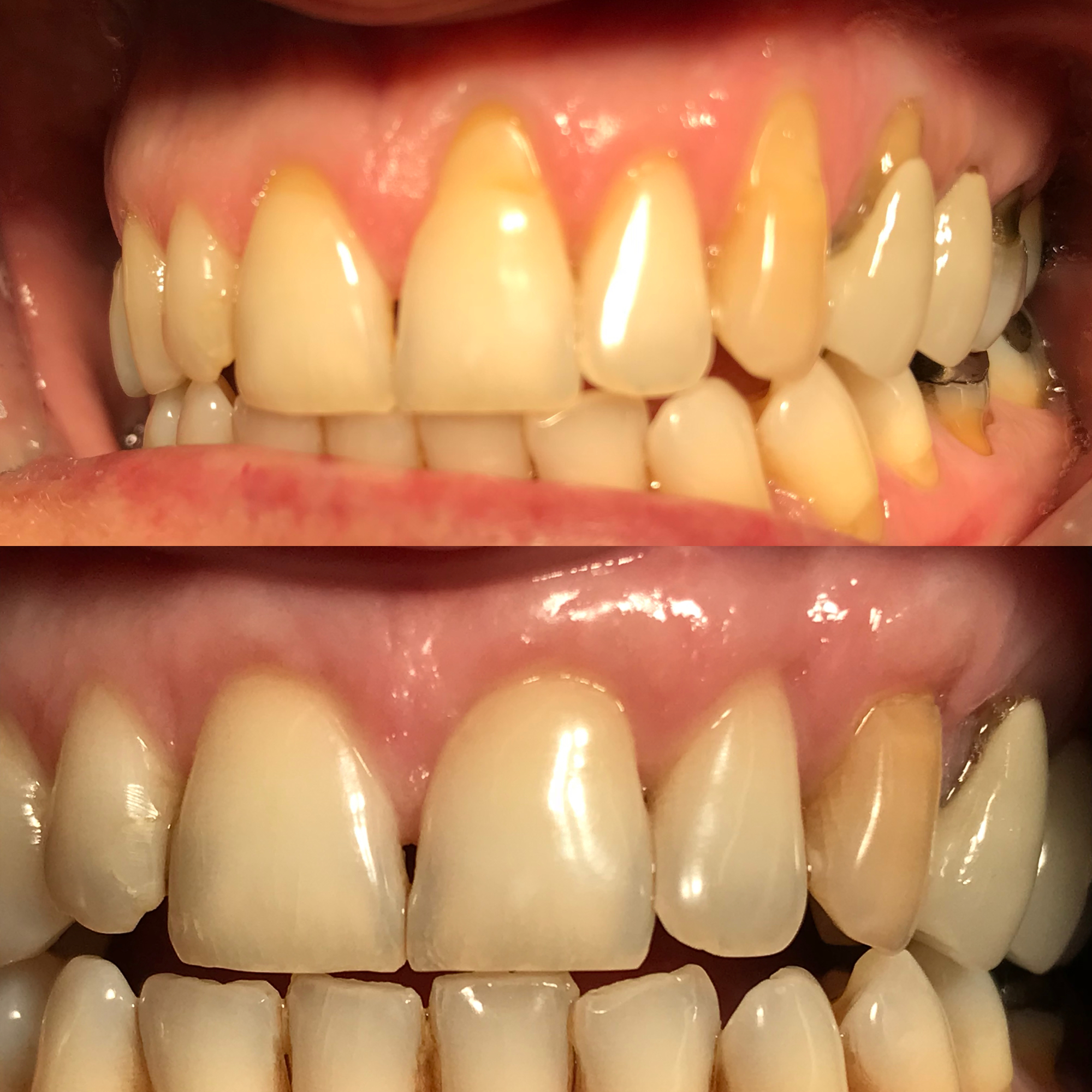
El injerto de encía es una intervención quirúrgica menor que implica la transferencia de tejido gingival desde una zona donante, generalmente el paladar, hacia el área afectada por la recesión.

Solución Efectiva para la Recesión Gingival

El injerto de encía es un procedimiento periodontal diseñado para tratar la recesión gingival, una condición en la que las encías se retraen, dejando expuestas las raíces de los dientes. La exposición de la raíz puede provocar sensibilidad dental, aumentar el riesgo de caries y afectar la estética de la sonrisa. En nuestra clínica de Bilbao, realizamos injertos de encía para cubrir las raíces expuestas, utilizando técnicas de microcirugía que garantizan una recuperación rápida y resultados naturales. Este tratamiento no solo mejora la apariencia de las encías, sino que también protege la salud dental a largo plazo.

Evaluación Inicial

Realizamos un examen exhaustivo para determinar el grado de recesión gingival y planificar el tratamiento adecuado.

Preparación del Sitio Donante

Se selecciona una zona del paladar como fuente del tejido a injertar.

Colocación del injerto

El tejido donante se sutura cuidadosamente en el área afectada para cubrir la raíz expuesta.

Cuidado postoperatorio y Seguimiento

Proporcionamos instrucciones para el cuidado en casa y programamos citas de control para asegurar una cicatrización óptima.

Te lo explicamos con detalle

¿En qué consiste el injerto de encía?

El injerto de encía es una intervención quirúrgica que implica la transferencia de tejido gingival desde una zona donante, generalmente el paladar, hacia el área afectada por la recesión. Este procedimiento se realiza bajo anestesia local y utiliza técnicas de microcirugía para minimizar el trauma y acelerar la recuperación. El objetivo es cubrir las raíces dentales expuestas, reducir la sensibilidad, prevenir futuras recesiones , mejorar la estética de la sonrisa y mejorar el estado gingival alrededor del implante.

¿En qué casos se recomienda?

  1. Recesión Gingival Significativa: Cuando las encías se han retraído notablemente, dejando expuestas las raíces de los dientes.
  2. Sensibilidad Dental: Para pacientes que experimentan sensibilidad al frío o al calor debido a la exposición radicular.
  3. Mejora Estética: Para aquellos que desean corregir la apariencia de «dientes largos» causados por la retracción de las encías.
  4. Prevención de Caries Radiculares: Al cubrir las raíces expuestas, se reduce el riesgo de caries en esas áreas.
  5. Preparación para Tratamientos Restaurativos: Antes de colocar coronas o puentes, para asegurar una base gingival saludable.
  6. Rebestimiento gingival en implantes donde la encía es escasa.

Reserva directamente online

Formulario web

Odontología preventiva Un enfoque proactivo para una salud dental óptima

Cuida tu sonrisa con odontología preventiva: un enfoque proactivo que previene caries y enfermedades, ahorrándote tiempo y dinero mientras mejora tu salud integral. ¡Invierte en tu bienestar dental hoy.

Cita Previa

Horarios de apertura

Lunes y Miercoles
08.00 - 13.00 y
16:00 - 20:00
Martes y Jueves
8:00 - 20:00
Viernes
08:00 - 17:00
Esta web utiliza cookies propias para su correcto funcionamiento. Contiene enlaces a sitios web de terceros con políticas de privacidad ajenas que podrás aceptar o no cuando accedas a ellos. Al hacer clic en el botón Aceptar, acepta el uso de estas tecnologías y el procesamiento de tus datos para estos propósitos.
Privacidad