Odontología Conservadora

en Bilbao

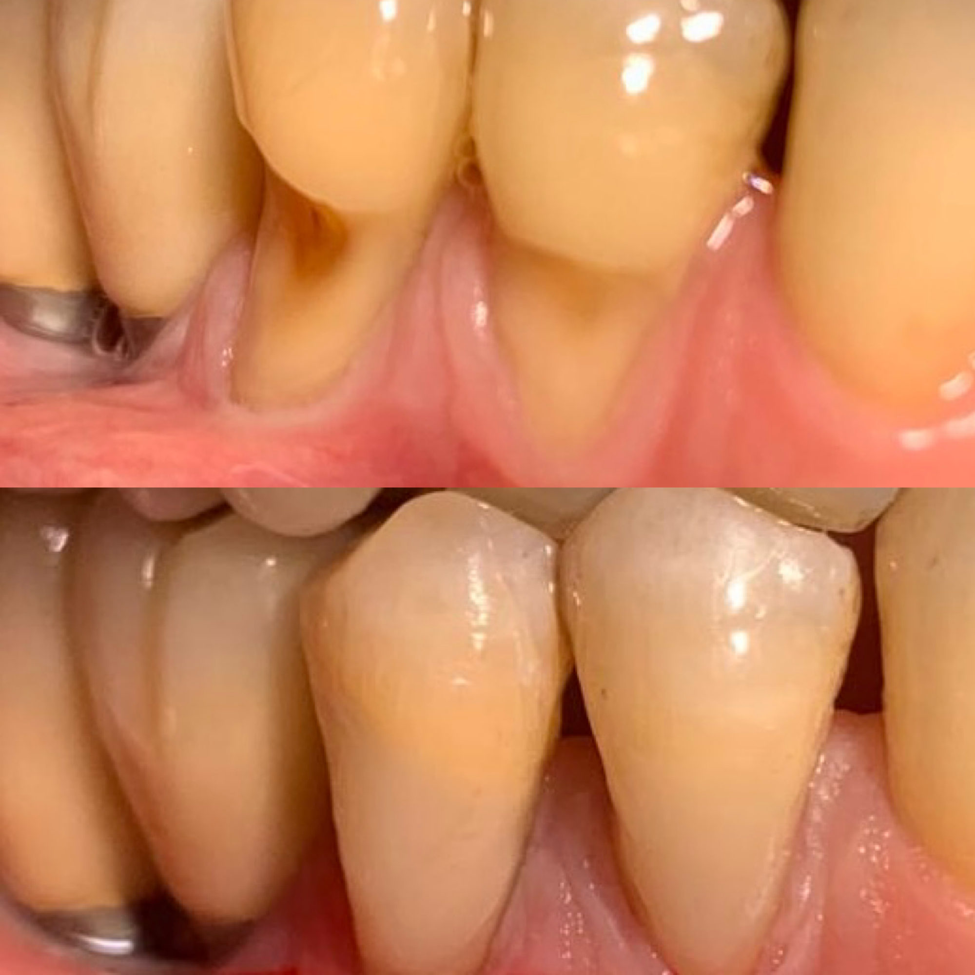
La odontología conservadora se enfoca en salvar los dientes afectados sin recurrir a la extracción.

Cuida tus Dientes Naturales

La odontología conservadora se centra en preservar y restaurar los dientes naturales dañados por caries, fracturas o desgaste. En nuestra clínica de Bilbao, utilizamos técnicas avanzadas para tratar los problemas dentales desde las primeras etapas, evitando extracciones innecesarias y manteniendo la funcionalidad y estética de la dentadura.

Diagnóstico Inicial

Identicación del problema mediante radiografías y exploración clínica.

Preparación del Diente

Eliminación de caries o tejido dañado, garantizando un área limpia y lista para el tratamiento.

Restauración Dental

Uso de materiales como resinas compuestas o incrustaciones para devolver la forma y función del diente.

Seguimiento Regular

Revisiones periódicas para asegurar la durabilidad de las restauraciones.

Te lo explicamos con detalle

¿En qué consiste la odontología conservadora?

La odontología conservadora es una rama de la odontología que se centra en prevenir, diagnosticar y tratar las lesiones dentales (como caries o fracturas) de manera mínimamente invasiva, con el objetivo principal de preservar la estructura dental natural. Su propósito es mantener la salud, la función y la estética de los dientes mediante procedimientos que respetan al máximo el tejido dental sano.

Los procedimientos más comunes incluyen:

  1. Obturaciones (Empastes dentales): Restauraciones directas con resinas para tratar caries.
  2. Reconstrucción dental: Reparación de dientes con caries muy extensas.
  3. Incrustaciones y onlays: Alternativas duraderas para dientes con daños más extensos.
  4. Selladores de caries
  5. Endodoncia

 

¿En qué casos se recomienda?

  1. Caries en etapas iniciales o avanzadas.
  2. Fracturas o desgastes en la estructura dental.
  3. Restauración de dientes tras un tratamiento de endodoncia.
  4. Daño en dientes que aún tienen sufiente estructura para ser preservados.

Reserva directamente online

Formulario web

Odontología preventiva Un enfoque proactivo para una salud dental óptima

Cuida tu sonrisa con odontología preventiva: un enfoque proactivo que previene caries y enfermedades, ahorrándote tiempo y dinero mientras mejora tu salud integral. ¡Invierte en tu bienestar dental hoy.

Cita Previa

Horarios de apertura

Lunes y Miercoles
08.00 - 13.00 y
16:00 - 20:00
Martes y Jueves
8:00 - 20:00
Viernes
08:00 - 17:00
Esta web utiliza cookies propias para su correcto funcionamiento. Contiene enlaces a sitios web de terceros con políticas de privacidad ajenas que podrás aceptar o no cuando accedas a ellos. Al hacer clic en el botón Aceptar, acepta el uso de estas tecnologías y el procesamiento de tus datos para estos propósitos.
Privacidad