Blog Clínica dental Berastegui

La sonrisa es una poderosa herramienta de conexión, un reflejo de bienestar y, para muchos, una puerta a la confianza en sí mismos.

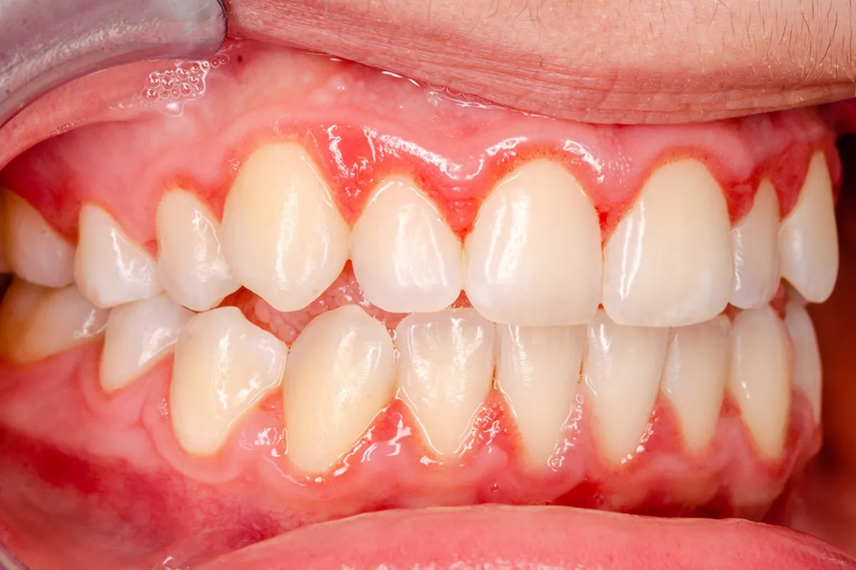
¿Por qué sangran las encías? Causas, consecuencias y cómo prevenirlo

¿Alguna vez has notado que tus encías sangran al cepillarte los dientes o al usar hilo dental? Aunque puede parecer algo normal, el sangrado de encías es una señal de alerta que no debe ser ignorada. Detrás de este síntoma puede haber problemas bucales más serios que, si no se tratan a tiempo, pueden comprometer tu salud bucal y general.

En este artículo, exploraremos las principales causas del sangrado de encías, las consecuencias de no actuar a tiempo y los mejores consejos para prevenirlo.

¿Qué significa el sangrado de encías?

Las encías sanas no deberían sangrar, ni siquiera durante el cepillado o al usar hilo dental. El sangrado suele ser un signo de inflamación o irritación, a menudo causado por la acumulación de placa bacteriana en la línea de las encías. Si no se aborda adecuadamente, puede evolucionar hacia problemas más graves como la gingivitis o la periodontitis.

Causas más comunes del sangrado de encías

Las encías sanas no deberían sangrar, ni siquiera durante el cepillado o al usar hilo dental.

Existen diversas razones por las que las encías pueden sangrar. Algunas de las más frecuentes son:


1. Gingivitis:
Es la causa más común de sangrado de encías. La gingivitis es una inflamación de las encías causada por la acumulación de placa bacteriana. Sus principales síntomas son el enrojecimiento, la hinchazón y el sangrado, especialmente al cepillarte o usar hilo dental.

2. Mala higiene bucal:
Una limpieza dental deficiente permite que la placa bacteriana se acumule, irritando las encías y provocando sangrado.

3. Uso incorrecto del cepillo o hilo dental:
Un cepillo de cerdas duras o el uso excesivamente brusco del hilo dental pueden lesionar las encías, causando irritación y sangrado.

4. Deficiencias nutricionales:
La falta de vitamina C o vitamina K en la dieta puede debilitar las encías, haciéndolas más propensas a sangrar.

5. Cambios hormonales:
Durante el embarazo, la menstruación o la menopausia, los cambios hormonales pueden aumentar la sensibilidad de las encías, provocando inflamación y sangrado.

6. Fumar o consumir tabaco:
El tabaco no solo debilita las encías, sino que también enmascara los síntomas iniciales de enfermedades periodontales, dificultando su detección temprana.

7. Enfermedades sistémicas:
Condiciones como la diabetes, trastornos de la coagulación o enfermedades autoinmunes pueden contribuir al sangrado de las encías.

8. Medicamentos:
Algunos medicamentos, como los anticoagulantes, pueden hacer que las encías sangren con mayor facilidad.

Consecuencias de no tratar el sangrado de encías

Si bien el sangrado ocasional puede parecer inofensivo, ignorarlo puede llevar a problemas más graves, como:

· Evolución hacia la periodontitis: Si la gingivitis no se trata, puede progresar a periodontitis, una enfermedad que afecta el tejido de soporte de los dientes, causando pérdida ósea y, en casos avanzados, pérdida dental.

· Infecciones: La acumulación de placa puede convertirse en sarro, lo que favorece la proliferación de bacterias y aumenta el riesgo de infecciones bucales.

· Impacto en la salud general: Las bacterias de las encías inflamadas pueden entrar al torrente sanguíneo, aumentando el riesgo de enfermedades cardiovasculares, diabetes descontrolada o complicaciones en el embarazo.

Cómo prevenir el sangrado de encías

La buena noticia es que, en la mayoría de los casos, el sangrado de encías se puede prevenir y tratar con cambios simples en los hábitos de cuidado bucal:

1. Mantén una higiene bucal adecuada:
Cepíllate los dientes al menos dos veces al día con una pasta dental con flúor. Usa un cepillo de cerdas suaves para evitar dañar las encías. Complementa tu rutina con hilo dental y un enjuague bucal antibacteriano.

2. Visita al dentista regularmente:
Las limpiezas profesionales eliminan la placa y el sarro que no puedes quitar con el cepillado. Además, permiten detectar problemas en sus primeras etapas.

3. Adopta una dieta equilibrada:
Incluye alimentos ricos en vitamina C (frutas cítricas, fresas) y vitamina K (espinacas, brócoli) para fortalecer tus encías.

4. Evita el tabaco:
Fumar no solo agrava el sangrado de encías, sino que también dificulta su tratamiento.

5. Aprende la técnica de cepillado correcta:
Cepíllate con movimientos suaves y circulares, y asegúrate de llegar a la línea de las encías sin ejercer demasiada presión.

6. Controla el estrés:
El estrés puede debilitar tu sistema inmunológico, aumentando el riesgo de problemas bucales como la gingivitis. Practica técnicas de relajación para mantenerte saludable

Cuándo debes preocuparte y consultar al dentista

Si el sangrado de encías es persistente, viene acompañado de dolor, mal aliento o encías
retraídas, es fundamental acudir al dentista. Estos pueden ser signos de problemas
periodontales avanzados que requieren tratamiento especializado.

Relacionado

Blog Relacionado

¿Qué es la Periodontitis y Por Qué Deberías Prestarle Atención?

La conexión entre la salud bucal y la salud general

¿Sabías que tu salud bucal influye en tu bienestar? Enfermedades como diabetes y problemas cardíacos pueden relacionarse con infecciones bucales. Mantener una buena higiene dental previene caries y mejora tu...

Bruxismo: Qué es, causas y cómo tratarlo para proteger tu sonrisa

La sonrisa es una poderosa herramienta de conexión, un reflejo de bienestar y, para muchos, una puerta a la confianza en sí mismos....

Reserva directamente online

Formulario web

Odontología preventiva Un enfoque proactivo para una salud dental óptima

Cuida tu sonrisa con odontología preventiva: un enfoque proactivo que previene caries y enfermedades, ahorrándote tiempo y dinero mientras mejora tu salud integral. ¡Invierte en tu bienestar dental hoy.

Cita Previa

Horarios de apertura

Lunes y Miercoles
08.00 - 13.00 y
16:00 - 20:00
Martes y Jueves
8:00 - 20:00
Viernes
08:00 - 17:00
Esta web utiliza cookies propias para su correcto funcionamiento. Contiene enlaces a sitios web de terceros con políticas de privacidad ajenas que podrás aceptar o no cuando accedas a ellos. Al hacer clic en el botón Aceptar, acepta el uso de estas tecnologías y el procesamiento de tus datos para estos propósitos.
Privacidad